ビットブレイン、千葉大病院、MSYSと医療専用閉域ネットワークで遠隔読影の実証実験
掲載日:
システム開発などのビットブレイン(福井・福井市)は2月14日、千葉大学医学部附属病院(千葉大学病院、千葉市)、丸紅情報システムズ(MSYS、東京・文京区)と、医療専用閉域ネットワークの安全性や性能の検証と遠隔読影の実証実験を開始すると発表した。医療専用の閉域ネットワークを使った遠隔読影は国内初という。
実証実験では、ビットブレインが開発した高速で大容量通信が可能な医療専用閉域ネットワーク「WCI(ワイヤレス・コネクト・インテリジェンス)」の有用性を検証する。「WCI」は、接続する病院が光通信線と専用ルータの設置のみで利用が可能で、通信先とのネットワーク設定やファイアーウォールが不要なサービス。具体的には、通信の安全性、高速性、大容量性を確かめる。「WCI」を接続しインターネットからのサイバー攻撃リスクがないことを確認し高速で大容量通信を遠隔読影システムの利用で遅延などがないかを検証する。
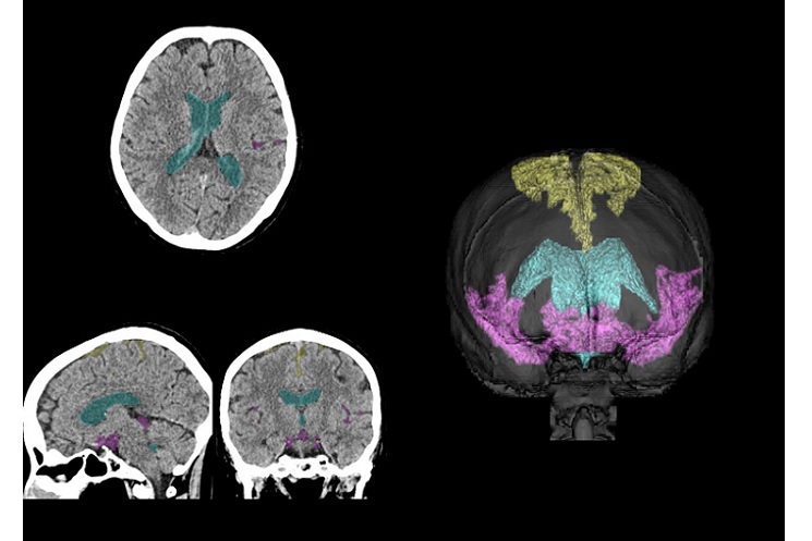
遠隔読影では、千葉大学病院の画像検査システムとビットブレインの遠隔読影システムを連携し、千葉大学病院外の放射線科医師が画像診断を行う。ビットブレインが医療用に開発した遠隔読影システムは、ネットワーク分離システムを通じて病院と遠隔読影者を接続する仕組みで、院内ネットワークと院外ネットワークを完全に分離できる。実証で膨大な検査数を抱える千葉大学病院が、外部から放射線科医が安全を確保した遠隔読影を行い、効率的に検査数を処理できるかを確かめる。
ビットブレインが「WCI」と遠隔読影システムの提供と運用、千葉大学病院は、検証環境と医療知見の提供、実証実験結果の業務適用可能性の評価、MSYSは導入支援を担当。実証は3月31日まで行う。3者は実証で効果を評価した後、医療専用閉域ネットワークの千葉県内医療機関での普及と医療情報システムやストレージシステムなどの遠隔利用や共同利用の推進に取り組む計画。